近几年,我院血液科收治过几例反复发热的患者,临床发现血细胞减少、脾大、血脂升高、纤维蛋白原下降、铁蛋白明显升高,行骨髓细胞学检查可见组织细胞吞噬血细胞现象,也就是血细胞被“吃掉”现象,临床可诊断“噬血细胞综合征(HPS)”。该病是一类由原发或继发性免疫异常导致的单核巨噬系统反应性增生的组织细胞病。病情凶险,如不经积极治疗,患者多在几月内死亡。
噬血细胞综合征背后原因是什么呢?主要包括感染、肿瘤、自身免疫性疾病、妊娠、药物、器官移植和造血干细胞移植等。
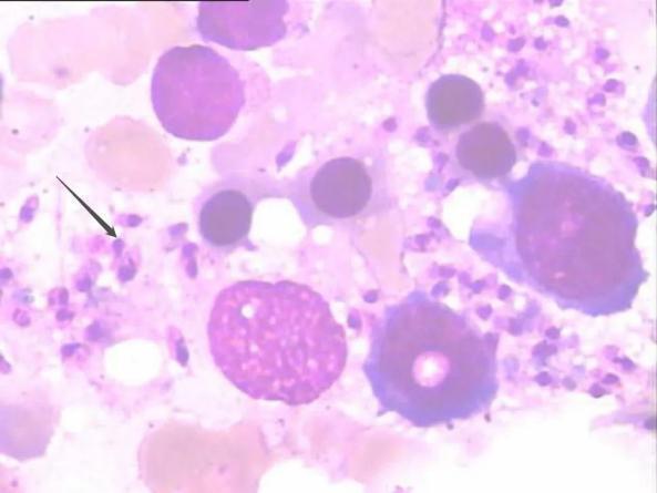
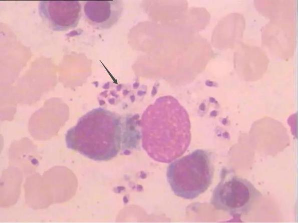
对于上述几例患者,血细胞被吞噬的背后我们也做了大量的排查,包括病毒、细菌、结核、布氏杆菌、自身免疫性疾病、肿瘤标记物、胸腹部CT等检查,均无发现明显异常。结合血液实验室反复阅骨髓片,竟然在骨髓片发现很少量非骨髓细胞成分:杜氏利什曼原虫,行利什曼原虫抗体检测均阳性,确诊“黑热病”,转传染病医院,经专科治疗均得到有效控制。
科普链接:黑热病
黑热病为全球易被忽视的传染病之一,50年代我国的黑热病主要在长江以北地区,波及16个省,山东、江苏、安徽、河南、河北、陕西甘肃等疫情较重。到1960年大部分疫区基本消灭黑热病,但西北与西南一些省份仍属于利什曼病流行。近年来,我市林州、内黄及殷都区靠西部丘陵地区有散发病例。
什么是黑热病?
黑热病是一种杜氏利什曼原虫感染引起的寄生虫病,因患者的皮肤常有暗的色素沉着,并且有不规则发热的表现,所以称为“黑热病”。
其主要病因是白蛉叮咬或接触患者引起杜氏利什曼原虫感染,黑热病的主要传染源为患者或病犬,雌性白蛉叮咬是主要传播途径,人群普遍易感,有黑热病流行区居住史或逗留史及长期野外活动史的人患病几率更高。潜伏期长短不一,10天至9年,平均3~5月。

黑热病的症状

图中箭头所示即为显微镜下的“杜氏利什曼原虫”
黑热病的预防
传染病的传播需要三个环节:传染源、传播途径、易感人群。所以预防传染病可以从这三个环节入手。
(1)对传染源的管理
应积极发现和治疗病人,做好犬的管理,捕杀病犬、管理好流浪犬。同时也要注意不接触野生动物。
白蛉是一种类似蚊子的昆虫,一般为蚊子的1/3大小,雌性白蛉可以叮咬动物和人类,吸食血液。每年5-9月是白蛉的活动季节,活动时间通常在黄昏至天亮前,常隐藏在室内外阴暗潮湿的场所,白蛉的幼虫生活在土壤里,可以使用菊酯类杀虫剂在室内外白蛉藏身处喷洒消灭白蛉。圈舍、禽舍、狗窝都是白蛉孳生的地方,也是白蛉吸完血以后休息的地方。把圈舍、禽舍、狗窝整理干净,尽可能地使环境不适合于白蛉生长。
(3)加强个人防护
春夏季节,人们喜欢到山里或河堤游玩,穿长袖衣裤防止被白蛉叮咬,暴露在外的皮肤涂抹领苯二甲酸二甲酯以防白蛉叮咬。
供稿:武永强
审核:孟君霞